• Blepharoplasty: Patient 11 - Before and After

    Blepharoplasty: Patient 11

    35-year-old female that was concerned with the excess skin on her upper eyelids, chose to undergo an upper eyelid blepharoplasty (skin only). 78418

    View More
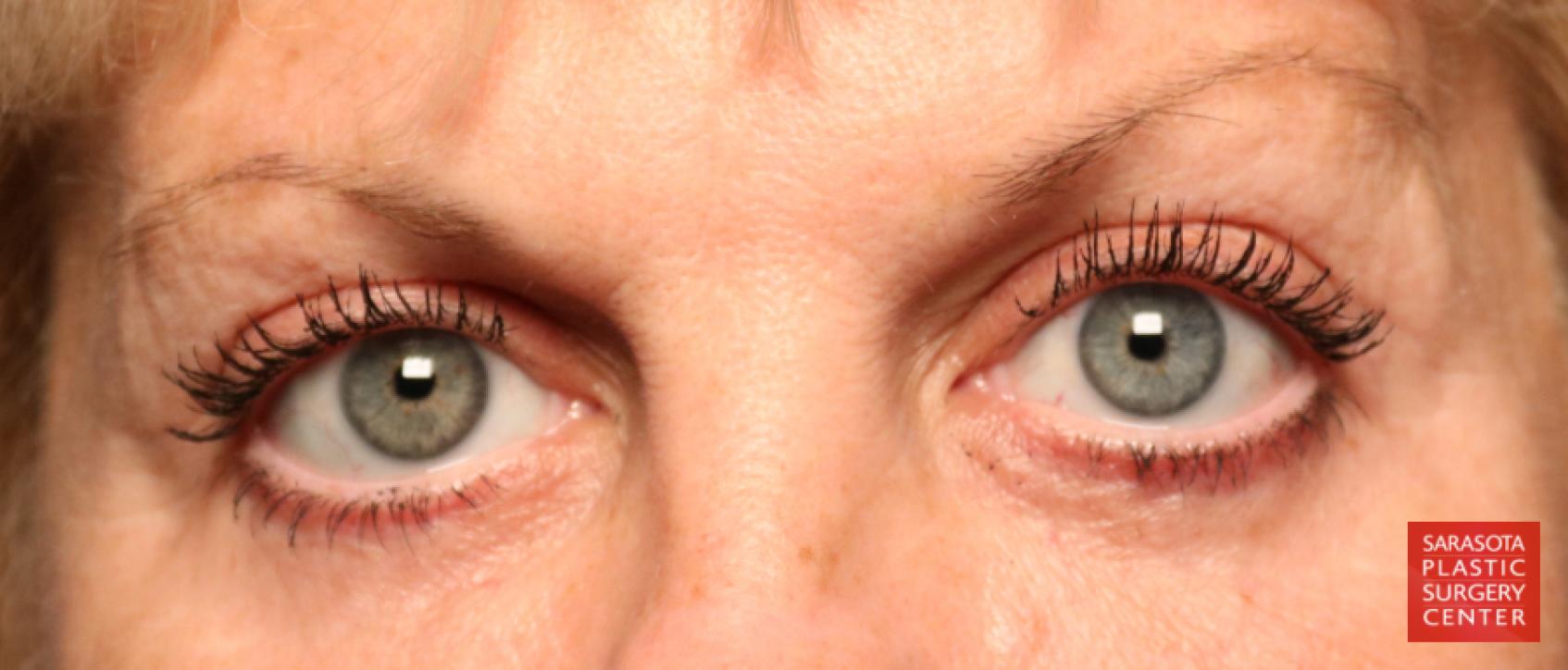
  • Blepharoplasty: Patient 12 - Before and After

    Blepharoplasty: Patient 12

    67 year old Sarasota female complained of excess skin on her upper and lower eyelids.  She previously has an upper eyelid surgery (periorbital...

    View More
  • Blepharoplasty: Patient 13 - Before and After

    Blepharoplasty: Patient 13

    57-year-old female that was concerned with skin excess of the upper eyelid, asymmetry of the upper eyelid and tired look to the eyes. To address her...

    View More
  • Blepharoplasty: Patient 14 - Before and After

    Blepharoplasty: Patient 14

    48 year old had concerns about a tired appearance of the lower eyelids. Dr. Derby performed a Transjunctional lower Blepharoplasty with skin pinch to...

    View More
  • Blepharoplasty: Patient 15 - Before Blepharoplasty: Patient 15 - After

    Blepharoplasty: Patient 15

    68-year-old female that was concerned with the excess skin on her upper eyelids and excess fat under her eyes. She chose to undergo a coronal browlift...

    View More
  • Blepharoplasty: Patient 16 - Before and After

    Blepharoplasty: Patient 16

    This 41-year-old Sarasota woman was bothered by lateral upper eyelid skin that interfered with makeup application. She chose to undergo a bilateral...

    View More
  • Blepharoplasty: Patient 17 - Before and After

    Blepharoplasty: Patient 17

    71 year old male concerned with the excess skin and fat of his lower eyelids chose to undergo a bilateral lower blepharoplasty with fat grafting. ...

    View More
  • Blepharoplasty: Patient 18 - Before and After

    Blepharoplasty: Patient 18

    72-year-old male that was concerned with excess skin of the upper and lower eyelids, fat excess of the lower eyelids, eyelid hooding and overall tired...

    View More
  • Blepharoplasty: Patient 19 - Before Blepharoplasty: Patient 19 - After

    Blepharoplasty: Patient 19

    52-year-old female that was bothered by her upper and lower eyelid skin and fatigued appearance. She was interested in periorbital rejuvenation and...

    View More
  • Blepharoplasty: Patient 20 - Before Blepharoplasty: Patient 20 - After

    Blepharoplasty: Patient 20

    66-year-old female that had facial aging concerns and lower eyelid bags. She chose to undergo bilateral lower eyelid blepharoplasty- transconjunctival...

    View More